Deutscher Rheumatologiekongress 2025
Deutscher Rheumatologiekongress 2025
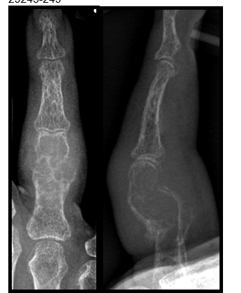
Unklarer osteolytischer Tumor am Ringfingergrundglied
Text
Einleitung: Bei der Abstracteinreichung handelt es sich um eine Fallvorstellung.
Methoden: Anamnese: 73-jährige Patientin stellte sich 5 Wochen nach einem Schlag ihres Enkels beim Spielen auf die rechte Hand mit seither bestehenden Schmerzen und Schwellung am rechten Ringfinger vor.
Befund: Schwellung des rechten Ringfingergrundgliedes ohne Rötung oder Überwärmung. Fingerbeweglichkeit schmerzhaft eingeschränkt, Faustschluss und Fingerstreckung inkomplett. Schmerzhafte Krepitation im Ringfingergrundglied.
Labor: Ca-Spiegel mit 3,58 mmol/l deutlich erhöht (Normalwert: 2,10–2,55 mmol/l)
Parathormon mit >2.000pg/ml extrem erhöht (15,0–68,3 pg/ml)
Histologie vom Biopsat: Fibroblastenreiches spindelzelliges Stroma mit mehrkernigen Riesenzellen
Differentialdiagnosen:
- Reparatives Riesenzellgranulom
- Solitäre aneurysmatische Knochenzyste
- Brauner Tumor bei Hyperparathyreotismus
Therapie: Nach Resektion des Nebenschilddrüsenadenoms Frakturheilung und Reossifizierung unter konservativer Therapie. Die radikale Resektion des Tumors ist in der Regel nicht erforderlich.
Ergebnisse: Brauner Tumor – Osteitis fibrosa cystica.
Die Osteitis fibrosa cystica, auch brauner Tumor genannt, entsteht im Knochen aufgrund eines primären oder sekundären Hyperparathyreoidismus. Eine pathologisch erhöhte Parathormonsekretion stimuliert die Osteoklastenaktivität und führt zur Bildung von Hohlräumen im Knochen. Es kommt zu Einblutungen (Hämosiderinablagerungen → braun → brauner Tumor), die den osteoklastären Knochenabbau weiter fördern, so dass sich schließlich größere auch radiologisch nachweisbare Osteolysen bilden.
In 89% sind Adenome der Nebenschilddrüse Ursache des primären Hyperparathyreoidismus (pHPT).
Neben der Manifestation am Knochen treten beim pHPT weitere typische Symptome auf wie Nephrolithiasis, Nephrokazinose und Ulzera bedingt durch den erhöhten Kalziumspiegel. Diese Symptomatik wird mit dem klassischen Ausdruck „Stein-Bein-Magenpein“ beschrieben.
Histopathologisch zeigen sich zahlreiche Riesenzellen vom osteoklastischen Typ, so dass ein Riesenzellgranulom oder auch die aneurysmatische Knochenzyste in der Differentialdiagnose in Frage kommt.
Der Erkrankungsgipfel liegt über dem 40. Lebensjahr. Das Auftreten insgesamt wird als selten beschrieben wobei Zahlen zur Inzidenz fehlen. Der braune Tumor kann in allen Knochen in Erscheinung treten, häufig jedoch an den Phalangen.
Radiologische Differentialdiagnose zum Braunen Tumor: Enchondrom/I° Chondrosarkom
Aneurysmatische Knochenzyste
Riesenzelltumor
Fremdkörpergranulom
Intraossäre Synovialhernie
Abbildung 1 [Fig. 1]
Abbildung 2 [Fig. 2]
Abbildung 3 [Fig. 3]
Abbildung 4 [Fig. 4]
References
[1] Misiorowski W, Czajka-Oraniec I, Kochman M, Zgliczyński W, Bilezikian JP. Osteitis fibrosa cystica-a forgotten radiological feature of primary hyperparathyroidism. Endocrine. 2017 Nov;58(2):380-5. DOI: 10.1007/s12020-017-1414-2[2] Lang S. Differenzialdiagnose riesenzellreicher Knochenläsionen [Differential diagnosis of giant cell-rich lesions of bone]. Pathologe. 2008 Nov;29 Suppl 2:245-9. German. DOI: 10.1007/s00292-008-1090-3







