71. Kongress der Nordrhein-Westfälischen Gesellschaft für Urologie
71. Kongress der Nordrhein-Westfälischen Gesellschaft für Urologie
Der spezielle Fall – die „falsche” Hydrozele
Text
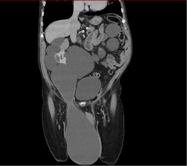
Einleitung: Die adulte Hydrozele stellt eine gutartige Vergrößerung des Skrotums dar, die bei ungefähr 60/100.000 Männern älter als 18 Jahren beobachtet werden kann. Hierbei handelt es sich um eine Ansammlung von Flüssigkeit im Cavum serosum testis. Die Differenzialdiagnosen umfassen unter anderem extratestikuläre Pathologien, darunter hernierte abdominelle oder retroperitoneale Strukturen.
Die Herniation einer Nierenzyste in das Skrotum stellt eine außergewöhnliche Rarität dar, die im vorliegenden Casus initial als Hydrozele testis fehlgedeutet wurde.
Methode: Operativer Zugang über einen schrägen suprainguinalen Schnitt. Durchtrennung des Subkutangewebes, Eröffnung der durch die Zyste ausgedünnten Externusaponeurose und Mobilisation des Funiculus spermaticus.
Zur Entlastung und anschließenden Mobilisation der Zyste aus dem Skrotalfach erfolgte nach Anlage einer Tabaksbeutelnaht eine Stichinzision zur Dekompression. (Zysteninhalt: insgesamt 1,7 l). Anschließend wurden die testikulären Gefäße sowie der Ductus deferens sorgfältig von der Zystenwand separiert. Nach Reposition des Hodens in das rechte Hemiskrotum wurde die Zyste bis in das Retroperitoneum ascendierend mobilisiert.
Letztlich erfolgten überwiegende Resektion der Zystenwand und Marsupialisation auf Nierenniveau. Abschließend wurden eine Netzimplantation nach Lichtenstein sowie eine passagere Drainageeinlage aufgrund der ausgedehnten Wundhöhle vorgenommen. Nach komplikationslosem Verlauf wurde der Patient am 3. postoperativen Tag ohne Drainage entlassen.
Ergebnisse: In der postoperativen Verlaufskontrolle zeigte sich kein Hinweis auf eine Rezidivhernie, jedoch trat in der Zwischenzeit eine gekammerte Hydrozele testis mit verminderter Perfusion des Hodens auf.
Schlussfolgerung: Insgesamt erwies sich das kombinierte operative Vorgehen mittels Leistenherniotomie nach Lichtenstein mit simultaner Zystenresektion und Marsupialisation als effektive Therapieoption für die seltene Entität einer skrotal- hernierten Nierenzyste.
Retrospektiv wäre angesichts des hohen Patientenalters, der erheblichen Komorbiditäten sowie des intraoperativen Befundes eine großzügigere Indikationsstellung zur simultanen Ablatio testis zu diskutieren gewesen, um potenziellen postoperativen Komplikationen vorzubeugen.
Dieser Fall unterstreicht die Bedeutung einer sorgfältigen differenzialdiagnostischen Abklärung skrotaler Raumforderungen, insbesondere bei atypischer Klinik oder ungewöhnlicher Bildgebung.
Abbildung 1 [Abb. 1]
Abbildung 2 [Abb. 2]
Abbildung 3 [Abb. 3]






