71. Kongress der Nordrhein-Westfälischen Gesellschaft für Urologie
71. Kongress der Nordrhein-Westfälischen Gesellschaft für Urologie
Case Report eines akuten postrenalen Nierenversagens 28 Jahre nach Ureterosigmoidostomie. Ein gastroenterologisches Kabinettstückchen
Text
Einleitung: Die Ureterosigmoidostomie (US) ist eine seit dem 19. Jhd. angewandte Operationstechnik zur kontinenten Harnableitung. Heutzutage wird diese aufgrund modernerer rekonstruktiver Alternativverfahren selten angewandt.
Gegenstand dieses Fallberichts ist eine Patientin mit einer vor 28 Jahren angelegten US, bei der sich nach Koloskopie eine Harntransportstörung beidseits entwickelte.
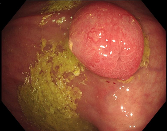
Methode: Wir berichten den Fall einer 85-jährigen Patientin, die sich bei Flankenschmerzen notfallmäßig vorstellte. Am Morgen zuvor erfolgte bei rezidivierenden Subileus-Ereignissen eine Koloskopie mit Polypabtragung und Clipping im Sigma.
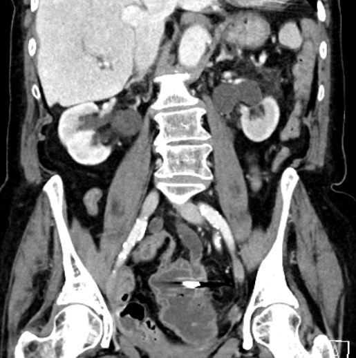
Ergebnisse: In der Akutdiagnostik zeigte sich sonographisch eine Harntransportstörung III° bds., laborchemisch ein akutes Nierenversagen mit einem Kreatinin von 2,3 mg/dl sowie eine beginnende Infektkonstellation (Leukozyten von 12,95 Tsd/µl, CRP von 3,7 mg/dl). Das im Anschluss durchgeführte CT zeigte eine Hydronephrose beidseits sowie ektatische Ureteren bis zur Insertionsstelle im Sigma, wobei die Clips in unmittelbarer Nachbarschaft lokalisiert schienen. Es erfolgte die Anlage von Nierenfistel-Kathetern (NFK) bds. sowie die koloskopische Entfernung der Clips. Laborchemisch normalisierten sich die Retentionsparameter. Nach 3 Wochen objektivierte eine antegrade Darstellung über die NFKs rechts einen regelrechten Abfluss, während sich links ein Kontrastmittelabbruch im Bereich der Einmündung des Ureters in das Sigma zeigte. Somit verblieb der NFK links als Dauerversorgung. Aufgrund des Patientenalters entschieden wir uns gegen eine Neueinpflanzung oder anderweitige Harnableitung.
Schlussfolgerung: Das Vorliegen einer US ist ein seltener Situs im klinischen Alltag. Daraus ergibt sich, dass diese Rekonstruktionstechnik in anderen Disziplinen oftmals nicht mehr ausreichend Beachtung findet. Da die Harnleitermündungen als polypoide Veränderungen im Rahmen endoskopischer Interventionen missinterpretiert werden können, entstehen zusätzliche Risiken. In diesem Fall hat dies zu einem iatrogenen Verschluss der Harnleitermündungen und im weiteren Verlauf zu einer Dauerableitung der linken Niere mittels NFK geführt. Bei erhöhtem Risiko für kolorektale Polypen und malignen Veränderungen im Bereich der Anastomose nach US ist eine Abtragung nur bei hochgradig malignitätsverdächtigen Läsionen sowie einer interdisziplinären Zusammenarbeit sinnvoll, um o.g. Komplikationen zu vermeiden.
Abbildung 1 [Abb. 1]
Abbildung 2 [Abb. 2]
Abbildung 3 [Abb. 3]






