Jahrestagung Kinderurologie 2026
Jahrestagung Kinderurologie 2026
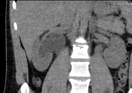
DaVinci assistierte Harnleiterrekonstruktion bei retrocavalem Harnleiter bei einem 17-jährigen Patienten
Text
Der retrocavale Harnleiter ist mit einer Prävalenz von 0,13% eine sehr seltene Fehlbildung der unteren Vena cava, welche sekundär zu einer Obstruktion des ipsilateralen Harnleiters führen kann, welche dann einer operativen Korrektur bedarf. Heutzutage werden die meisten dieser Fälle weltweit laparoskopisch oder robotisch durchgeführt.
In diesem Fallbericht beschreiben wir einen 17-jährigen Patienten, der mit rez. ausgeprägten Koliken in unserer Abteilung vorstellig wurde. Initial erfolgte bei Hydronephrose °III und pos. Steinanamnese des Vaters eine CT-Abdomen nativ, welche bereits den V.a. einen retrocavalen Harnleiter rechts ergab. Eine Szintigraphie bestätigte eine urodynamisch relevante Obstruktion bei ausgeglichener Nierenfunktions. Bei Symptomatik erfolgte eine retrograde Ureteropyelographie mit JJ-Einlage. Im weiteren Verlauf wurde noch eine MRT-Angiographie durchgeführt, welche den Befund eindeutig bestätigte. Daraufhin erfolgte am 10.11.2025 die daVinci-assistierte Ureterureterostomie rechts in Linksseitenlage. Hierfür wurden 4 Arbeitstrokare und ein Kameratrokar verwendet. Die Gesamtoperationszeit lag bei 181 min, die reine Konsolenzeit bei ca. 100 min. Intraoperativ erfolgte ein JJ-Wechsel. Die Anastomose erfolgte mit einer 4.0 Quill-Naht in fortlaufender Technik. Der Blutverlust lag bei ca. 20 ml. Postoperativ waren die Schmerzen mit Novalgin gut beherrschbar. Die Entlassung erfolgte am 5. postoperativen Tag nach DK-Entfernung.
Die erste Kontrolle am 27.11.25 war unauffällig, für den 18.12.25 ist die DJ-Entfernung geplant. Eine erneute Kontrollsonographie erfolgt am 14.01.26.
Die robotisch assistierte Operation eines retrocavalen Harnleiters stellt unserer Meinung heutzutage den Goldstandard dar. Die Operation kann sicher und mit sehr niedrigem Risiko durchgeführt werden. In der Literatur liegen die mittleren OP-Zeiten für die Laparoskopie über denen für die robotische Rekonstruktion, ebenso ist der Blutverlust für die robotische Technik niedriger. Eine offene Operation sollte heutzutage bei diesem Krankheitsbild möglichst vermieden werden.
Der Trend wird weiter Richtung robotisch assistierte OP-Verfahren gehen.
Abbildung 1 [Abb. 1], Abbildung 2 [Abb. 2], Abbildung 3 [Abb. 3], Abbildung 4 [Abb. 4], Abbildung 5 [Abb. 5], Abbildung 6 [Abb. 6], Abbildung 7 [Abb. 7], Abbildung 8 [Abb. 8], Abbildung 9 [Abb. 9], Abbildung 10 [Abb. 10]
References
[1] Pérez-Bertólez S, Salcedo P, Tapia L, Domenech A, Martín-Solé O, García-Aparicio L. Retrocaval ureter: a narrative review. Transl Androl Urol. 2025 Aug 30;14(8):2456-2466. DOI: 10.21037/tau-24-580[2] Escolino M, Masieri L, Valla JS, Lopez PJ, Tokar B, Mushtaq I, Esposito C. Laparoscopic and robotic-assisted repair of retrocaval ureter in children: a multi-institutional comparative study with open repair. World J Urol. 2019 Sep;37(9):1941-1947. DOI: 10.1007/s00345-018-2577-z
[3] Hakariya T, Aoki D, Nishimura N. A case of retrocaval ureter with robot-assisted ureteral reconstruction. IJU Case Rep. 2024 Sep 17;7(6):487-490. DOI: 10.1002/iju5.12785
[4] Tamhankar AS, Savalia AJ, Sawant AS, Pawar PW, Kasat GV, Patil SR. Transperitoneal laparoscopic repair of retrocaval ureter: Our experience and review of literature. Urol Ann. 2017 Oct-Dec;9(4):324-329. DOI: 10.4103/UA.UA_52_17
[5] Hostiuc S, Rusu MC, Negoi I, Grigoriu M, Hostiuc M. Retrocaval ureter: a meta-analysis of prevalence. Surg Radiol Anat. 2019 Nov;41(11):1377-1382. DOI: 10.1007/s00276-019-02269-w













