German Congress of Orthopaedics and Traumatology (DKOU 2025)
Deutscher Kongress für Orthopädie und Unfallchirurgie 2025 (DKOU 2025)
Symptomatische akzessorische Fußwurzelknochen: Stufenweises Therapiekonzept von konservativen Maßnahmen bis zur operativen Versorgung
2Universitätsklinik für Orthopädie und Unfallchirurgie, Klinische Abteilung für Orthopädie, Wien, Österreich
Text
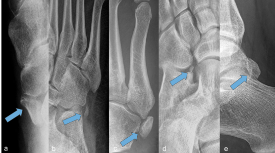
Zielsetzung und Fragestellung: Akzessorische Fußwurzelknochen sind keine Seltenheit und finden sich in der Regel als asymptomatischer Nebenbefund. Die Inzidenz wird für das Os tibiale externum mit 4–21%, für das Os peroneum mit 3,9–30%, für das Os vesalianum mit 0,1–0,9%, für das Os trigonum mit 3–15% und für das Os calcaneus secundarius mit 0,6–7% in der Bevölkerung angegeben. Wir berichten über das therapeutische Outcome von PatientInnen (Pat.) mit belastungsabhängigen Schmerzen im Fußwurzelbereich aufgrund von symptomatischen akzessorischen Ossikeln.
Material und Methoden: 5/14 Pat. beklagten rezidivierende, belastungsabhängige medioplantare Schmerzen. Weitere 7/14 Pat. litten unter rezidivierende, lateroplantare Schmerzen. Eine Pat. (1/14) beklagte zentrale Schmerzen im Bereich des Sinus tarsi, ein anderer Pat. berichtete über dorsale Fußschmerzen. 13/14 Pat. zeigten einen leichten Pes planovalgus. Bei allen Pat. wurden Röntgenaufnahmen und ein MRT mit STIR-Sequenzen durchgeführt. Zu Beginn erfolgte ein konservativer Therapieversuch, dieser beinhaltete eine Ruhigstellung in einer Unterschenkelfußorthese für drei Wochen und unterstützend eine analgetische/antiphlogistische Behandlung. Zur Korrektur der Fußfehlstellung wurde bei 10/13 Pat. eine Einlagenversorgung vorgenommen. Bei ausbleibender klinischer Verbesserung wurde zusätzlich eine durchleuchtungsgesteuerte Infiltrationstherapie durchgeführt. Diese beinhaltete die Injektion von 2 ml eines Medikamentengemisches, bestehend aus 1 ml Dexamethason (2,5 mg, Lipotalon®) und 1 ml Bupivacain (0,5%, Carbostesin®) mit einer dreimaligen Wiederholung im Abstand von 7 Tagen. Zusätzlich wurde eine extrakorporale radiale Stoßwellentherapie (4.000 Impulse, 1 bar, 20 Hz) angewendet, welche fünfmal im Abstand von 3 Tagen durchgeführt wurde. Bei weiterhin bestehender Schmerzsymptomatik erfolgte nach 6 Monaten die chirurgische Exstirpation des schmerzenden Ossikels mit entsprechender Sehnenrekonstruktion, falls erforderlich. Der Therapieverlauf wurde anhand des Patient Reported Outcome in gut, mäßig, und nichtzufriedenstellend eingeteilt.
Ergebnisse: Im Röntgen zeigte sich entweder ein Os tibiale externum Typ 2, Os peroneum, Os vesalinum, Os calcaneus secundarius oder Os trigonum. In der MRT-Bildgebung fand sich ein perifokales Ödem sowie eine Tendinose mit Tendovaginitis bei 8/14 Pat. Nach konservativen Maßnahmen waren 3/14 Pat., nach zusätzlicher Infiltrations- und Stoßwellentherapie 4/14 Pat. beschwerdefrei, 1/14 Pat. zeigte eine mäßige Besserung. Nach Exstirpation des Os calcaneus secundarius zeigte 1/14 Pat. einen vollständigen Rückgang der Symptome. Nach Ossikelextripation mit Sehnenrekonstruktion wurden 4/14 Pat. beschwerdefrei, während 1/14 Pat. unter Belastung weiterhin leichte Schmerzen beklagte.
Diskussion und Schlussfolgerung: Bei belastungsabhängigen Fußschmerzen und dem Nachweis entsprechender Ossikel sollte an ein akzessorisches Naviculare-, Os peroneum-, Os vesalianum-, Os calcaneus secundarius- oder Os trigonum-Syndrom gedacht werden. Bei Versagen der konservativen Maßnahmen, Infiltrations- und Stoßwellentherapie kann die Exstirpation des betroffenen Ossikels mit ggf. erforderlicher Sehnenrekonstruktion notwendig werden.
Abbildung 1 [Abb. 1]
Tabelle 1 [Tab. 1]





