German Congress of Orthopaedics and Traumatology (DKOU 2025)
Deutscher Kongress für Orthopädie und Unfallchirurgie 2025 (DKOU 2025)
Der Extremitätenerhalt führt, trotz modernster Prothesenversorgung nach Amputation, zu besseren Ergebnissen
2Klinik für Unfallchirurgie und Orthopädie, Frankfurt am Main, Deutschland
3BG Unfallklinik, Technische Orthopädie, Frankfurt am Main, Deutschland
Text
Zielsetzung und Fragestellung: Die Behandlung schwerer Extremitätentraumata und deren Folgen umfasst unter anderem die Rückfußarthrodese (RA), aber auch die weltweit noch immer häufigsten durchgeführte Amputationen des Unterschenkels n. Burgess (BA). Beide Verfahren haben langfristige Auswirkungen auf die Lebensqualität und Teilhabe der Betroffenen am Arbeitsleben. Ziel unserer Studie war es, beide Behandlungsgruppen im direkten Vergleich mit validierten Outcome-Parametern gegenüberzustellen.
Material und Methoden: Nach Sichtung von 680 Patientendaten aus den Jahren 2012 bis 2023 und Würdigung der Ein- und Ausschlusskriterien verblieben in der monozentrischen, retrospektiven Studie die Ergebnisse von 270 Patienten (RA, n=227; m=145, w=82), (BA, n=43; m=38, w=5). Das durchschnittliche Follow-up für die RA-Kohorte betrug 5,9 Jahre (Alter bei Operation: x̄=58,6 Jahre), für die BA-Kohorte 4,8 Jahre (Alter bei Operation: x̄=53,9 Jahre). Die Lebensqualität wurde u.a. anhand des SF-12 Scores (Short Form 12 Health Survey) einschl. der physischen (PCS-12) und psychischen (MCS-12) Summenskala bewertet. Dokumentiert wurde zudem die Rückkehr in den erlernten Beruf. Die Statistische Auswertung umfassten den t-Test für unabhängige Stichproben und den Chi-Quadrat-Test zur Analyse der Lebensqualität und Arbeitsfähigkeit. Die Einschlusskriterien waren: Mindestalter von 18 Jahren, Zustimmung u. Einwilligungsfähigkeit, Behandlung im Studienzentrum, einseitige Behandlung. Zu den Ausschlusskriterien gehörten angeborene und tumoröse Erkrankungen der Extremität.
Ergebnisse: Die Auswertung der Lebensqualität zeigte signifikant (p<0,05) höhere PCS-12-Werte (RA: 36,63; BA: 32,04) sowie MCS-12-Werte (RA: 50,77; BA: 44,68) für Patienten nach RA im Vergleich zur BA-Kohorte. 17,2% der RA-Patienten und 21,7% der BA-Patienten gaben an, weiter im erlernten Beruf tätig zu sein. Nach Ausschluss der Patienten, die bereits vor der Operation in Altersrente waren, verblieben32 % der RA-Patienten im Vergleich zu 25% der BA-Patienten in ihren erlernten Beruf (p<0.001).
Diskussion und Schlussfolgerung: Unsere Ergebnisse zeigen, dass Betroffene nach einer RA im direkten Vergleich zu denen nach BA ein signifikant besseres Outcome hinsichtlich der Lebensqualität und Arbeitsfähigkeit aufweisen. Allerdings muss berücksichtigt werden, dass das höhere Durchschnittsalter in der RA-Gruppe, sowie die unterschiedlichen Kohortengrößen einen relevanten BIAS darstellen können.
Evidenzlevel: III, Fallkontrollstudie
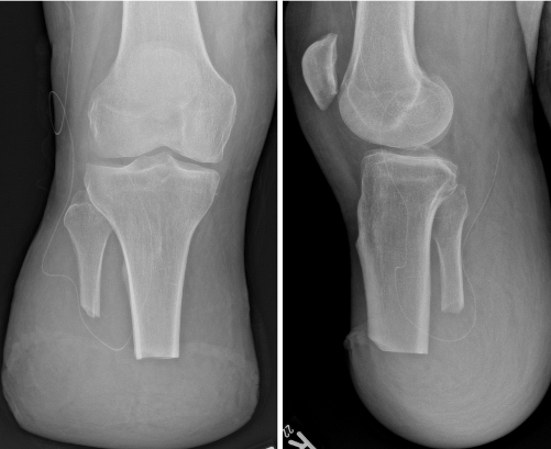
Abbildung 1 [Abb. 1]
Abbildung 2 [Abb. 2]
Abbildung 2: Burgess-Amputation
Tabelle 1 [Tab. 1]





