65. Kongress der Deutschen Gesellschaft für Handchirurgie
65. Kongress der Deutschen Gesellschaft für Handchirurgie
Instabile Basisfrakturen: Ergebnisse der Operationstechnik nach Hintringer und Ender am Fingermittelglied
Text
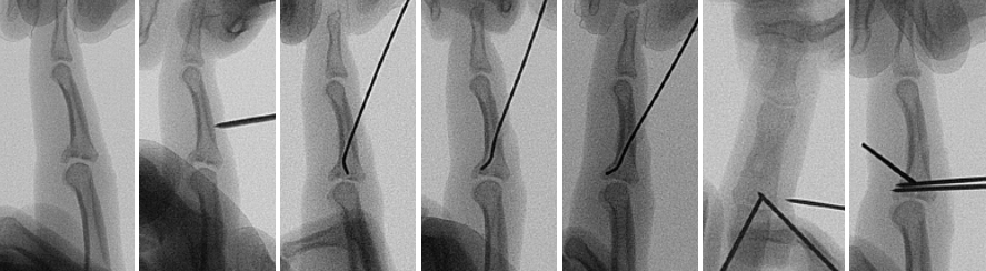
Fragestellung: Instabile Frakturen der Fingerbasis mit Gelenkflächenimpression stellen ein komplexes Trauma dar. Die Behandlung dieser Verletzungen wird in der Literatur kontrovers diskutiert, bisher konnte keine operative Behandlungsform ihre Überlegenheit zeigen. Hintringer und Ender beschrieben 1986 die perkutane Aufstopftechnik der imprimierten Gelenkfläche (s. Abbildung 1 [Abb. 1]) an vier Patienten.
Abbildung 1: Repositionstechnik mit Aufstopfdraht (von links nach rechts): Der Finger wird in Längsrichtung
Methodik: In einer retrospektiven Studie werden die Ergebnisse der Aufstopftechnik von 113 instabilen Fingerfrakturen mit imprimierter Basis ausgewertet. Um eine Vergleichbarkeit zu gewährleisten werden 87 Fälle am Mittelglied betrachtet. Die Klassifikation der Impressionsfraktur erfolgte nach Hintringer in vier Typen. Das Kollektiv umfasst 69 männliche und 18 weibliche Patienten (Medianalter 34 Jahre). Traumaursache waren zu gleichen Teilen (44%) Stürze und Sportunfälle, gefolgt von Arbeitsunfällen (12%). Am häufigsten betroffen (36x) war der Kleinfinger. Die OP erfolgte im Median sieben Tage posttraumatisch. Das mediane Nachuntersuchungsintervall lag bei 3.5 Monaten. Untersucht wurden das radiologische Ergebnis, die Funktion des Bewegungsumfangs nach Buck-Gramcko, der Fingerkuppenhohlhandabstand (FKHA) und der Fingernageltischabstand (FKTA) sowie die Schmerzsymptomatik.
Ergebnisse: Die präoperative Gelenkimpression konnte durch die Operationstechnik von Hintringer und Ender von 2,5 mm auf 0,7 mm reduziert werden. Die Gelenkfläche remodellierte sich in ¾ der Fälle vollständig. Der Gelenkspalt wurde postoperativ mit 0,8 mm gemessen. Funktionell verblieb im Median ein FKHA von 1 cm und ein Streckdefizit von 10° im Mittelgelenk. Der Gesamt-Bewegungsumfang belief sich zum Abschluss der Behandlung im Median auf 210°. Nach Buck-Gramcko präsentierten 75 Patienten ein „sehr gutes“, elf ein „gutes“ und einer ein „befriedigendes“ Ergebnis. Während die Frakturtypen I-III zu ähnlichen Bewegungsumfängen führten, erreichten Patienten nach Typ IV Fraktur die niedrigsten Gesamtbewegungsumfänge (197° im Schnitt). Vier Patienten gaben persistierende Schmerzen an. Einmal wurde eine Arthrodese des PIP-Gelenks im Verlauf notwendig. Komplikationen gab es nur in 3 Fällen (1x Wundheilungsstörung, 2x sekundäre Drahtdislokation).
Schlussfolgerung: Mit der Operationstechnik nach Hintringer und Ender steht ein einfaches und effizientes Verfahren zur Behandlung der Basisimpressionsfrakturen der Mittelphalangen zur Verfügung. Die Therapie führt zu einem guten funktionellen Ergebnis. Aufgrund des perkutanen Vorgehens sind Komplikationen selten.



