2.8.4. Psyche und Mundgesundheit
1 Fachbereich Medizin - Institut für Medizinische Psychologie, Justus-Liebig-Universität Gießen, Gießen, Germany
Kaum eine andere Region des Körpers ist so wichtig für unser psychisches und soziales Wohlbefinden, für unsere Ausdrucksfähigkeit, für die Art und Weise, wie wir von anderen wahrgenommen werden und wie sie mit uns umgehen, wie das Gesicht. Es dient dem gegenseitigen Erkennen und Wiedererkennen und ist damit auch für uns selbst identitätsstiftend. Mit dem Gesicht drücken wir Emotionen differenzierter aus als uns das manchmal mit Worten möglich ist und das menschliche Lächeln (Abbildung 1) ist einer der wichtigsten Bestandteile sozialer Kommunikation. Mund und Zähne sind zudem entscheidend für unsere Fähigkeit zu essen und zu sprechen. Aus diesen Überlegungen wird bereits deutlich, dass die Mundgesundheit für unser gesamtes Wohlbefinden eine wichtige Rolle einnimmt.
Die Mundgesundheit spielt für das psychische Wohlbefinden eine wichtige Rolle.
Es ist gut dokumentiert, dass Beeinträchtigungen der Mundgesundheit zu Beeinträchtigungen der Lebensqualität führen können. Die Mundgesundheit beeinflusst aber nicht nur unsere Lebensqualität. Sie ist auch für die allgemeine Gesundheit von großer Bedeutung. So hat die Parodontitis (Diagnoseschlüssel in der ICD 10: K05.3 [2]), eine entzündliche Erkrankung, die bei Erwachsenen sehr häufig vorkommt, Auswirkungen auf die Blutzuckerregulation beim Diabetes, sie scheint die Entstehung koronarer Erkrankungen zu begünstigen und wird auch in Verbindung mit einem erhöhten Frühgeburtsrisiko gebracht.
Welche Rolle spielt nun aber die Psyche für die Mundgesundheit? Können psychische Faktoren diese positiv oder negativ beeinflussen? Auf welchem Wege kann dies geschehen? Zur Beantwortung dieser Fragen wollen wir uns drei Themenbereichen besonders zuwenden: der Prävention von Munderkrankungen, dem Thema Zahnbehandlungsangst und dem Thema Stress. Danach wenden wir uns der Frage zu, wie sich psychische Störungen im stomatognathen System (stomathognath: Mund und Kiefer betreffend) manifestieren können und behandeln abschließend psychische Faktoren bei der Prothesenadaptation (weiterführende Literatur siehe [3]).
2.8.4.1. Prävention von Zahn- und Munderkrankungen – der menschliche Faktor
In kaum einem anderen Bereich spielt das alltägliche Gesundheitsverhalten eine so große Rolle wie bei der Mundgesundheit. Die beiden wichtigsten Erkrankungen in diesem Bereich, die Karies und die Parodontitis [4], sind ganz wesentlich vom Verhalten der Patient*innen abhängig und sind ohne deren aktive Mitarbeit (Adhärenz) auch kaum in den Griff zu bekommen. Wesentlich ist hier vor allem die tägliche Mundhygiene (Abbildung 2), aber auch das Ernährungsverhalten ist wichtig und der regelmäßige Zahnarztbesuch, bei dem Risiken frühzeitig erkannt und behandelt werden können.
Modelle des Gesundheitsverhaltens (s. Kapitel 5.1.) sind auch hier von Bedeutung und finden in der zahnmedizinischen Forschung Anwendung. Sie vernachlässigen allerdings die Hygienefertigkeiten der Patienten, die gerade bei der Mundgesundheit eine wichtige Rolle spielen. Das Putzen der Zähne alleine reicht nicht, es muss auf eine Art und Weise geschehen, dass sie dabei auch weitgehend plaquefrei werden. Dies schaffen nach neuen Erkenntnissen die meisten Deutschen nicht (Abbildung 3) und so verwundert es ebenso wenig, dass trotz der Tatsache, dass heute 70–90% täglich ihre Zähne putzen, die Prävalenz parodontaler Erkrankungen sehr hoch ist. Hier besteht in der Zahnmedizin noch ein großes Forschungsdefizit, wie solche Fertigkeiten am besten vermittelt werden können.
Einfacher als die Prävention der Parodontalerkrankungen, die in sehr hohem Maße von der Qualität der täglichen Mundhygiene abhängt, scheint die Prävention der Karies (ICD: K02 [6]) zu sein, die in den letzten Jahren in Deutschland einen sehr deutlichen Rückgang erlebt [4]. Ein wesentlicher Effekt wird hier der Verwendung fluoridierter Zahnpasten zugeschrieben, aber auch den gruppen- und individualprophylaktischen Maßnahmen im Kindes- und Jugendalter (Sozialgesetzbuch V, § 21 [7], § 22 [8]), die u.a. auch die Versiegelung der in diesem Alter noch stark zerfurchten Kauflächen der Prämolaren und Molaren (Backenzähne) vorsehen, die mit der Zahnbürste nur schwer zu reinigen sind. Mit zunehmenden Alter schleifen sich diese Flächen ab, sodass bei Erwachsenen die Kauflächenkaries kaum mehr eine Rolle spielt, sondern eher die Zahnzwischenraumkaries, deren Entstehung mit der Anwendung von Produkten zur Zahnzwischenraumpflege begegnet werden kann. Diese ist in Deutschland heute allerdings noch nicht weit verbreitet und entsprechend besteht auch hier Interventionsbedarf [4].
Von vielen Patient*innen in Anspruch genommen werden dagegen die regelmäßigen Vorsorgeuntersuchungen beim Zahnarzt. Hierfür hat der Gesetzgeber mit dem sog. Bonusheft (Abbildung 4) der Krankenkassen auch einen expliziten Anreiz geschaffen, der auf den lerntheoretischen Prinzipien der Token Economy (s. Kapitel 5.3.) beruht. Das Ausmaß der Erstattung von Zahnersatz durch die gesetzlichen Krankenkassen wird davon abhängig gemacht, ob und wie regelmäßig diese Vorsorgeuntersuchungen in Anspruch genommen wurden (Sozialgesetzbuch V, §55 [9]).
Karies und Parodontitis sind zu wesentlichen Teilen vom Patientenverhalten abhängig. Eine wichtige Rolle spielen dabei die Mundhygienefertigkeiten, die oft nicht ausreichend sind, sodass trotz regelmäßiger Mundhygiene Probleme entstehen.
2.8.4.2. Zahnbehandlungsangst
Wenn zahnmedizinische Vorsorgeuntersuchungen oder gar notwendige Behandlungen nicht oder erst sehr spät im Verlauf einer Erkrankung in Anspruch genommen werden, dann liegt dem oft eine Zahnbehandlungsangst, oder sogar eine Zahnbehandlungsphobie (ICD: F40.2 [11]) zugrunde. Die Zahnbehandlungsphobie ist eine spezifische Phobie, die alle Merkmale einer phobischen Störung (Kapitel 2.2.7. und 5.3.) aufweist. Bei der Zahnbehandlungsangst bestehen aversive Gefühle gegen den Zahnarztbesuch, die aber nicht das Ausmaß einer Phobie haben. Zahnbehandlungsangst ist weit verbreitet und betrifft etwa 60% der Bevölkerung, wobei ca. 10% unter starker Angst leiden. Die Prävalenz von Zahnbehandlungsphobien liegt entsprechend noch etwas niedriger, wobei hier keine eindeutigen epidemiologischen Zahlen verfügbar sind [12].
Es ist völlig normal, dass die zahnärztliche Untersuchung und die Behandlung als unangenehm erlebt werden. Die Untersuchung und die Behandlung sind mit dem Eindringen in eine Körperöffnung verbunden, wodurch eine sehr intime Barriere überschritten wird. Die Patient*innen befinden sich außerdem in der Regel in Rückenlage, das zahnärztliche Personal ist über sie gebeugt. Fluchtwege sind damit abgeschnitten, die Position signalisiert auch im Wortsinne eine Unterlegenheit (Abbildung 5). Gefühle des Kontrollverlusts können sich so sehr leicht einstellen. Die Behandlung kann außerdem mit unangenehmen Geräuschen und Empfindungen verbunden sein, beispielsweise durch das Betreiben des Bohrers oder die Injektion von Anästhetika. Schließlich ist die Situation häufig mit einem Gefühl der Beschämung verbunden, wenn die Patient*innen der Ansicht sind oder ihnen das Gefühl vermittelt wird, dass ihre Störungen aufgrund von Mängeln in ihrem Verhalten, z.B. der Mundhygiene entstehen. Aus lerntheoretischer Sicht ist die Zahnarztpraxis zudem ein äußerst salienter Stimulus, der also über viele Merkmale verfügt, die sich sehr klar von unserer alltäglichen Umgebung abheben. Dies erleichtert zusätzlich die Bildung starker Reiz-Reiz-Assoziationen im Sinne der klassischen Konditionierung (s. Kapitel 2.2.3.), die die Entstehung phobischer Störungen begünstigen.
Ein Kennzeichen einer phobischen Störung ist die Vermeidung der angstauslösenden Stimuli. Dies kann im Fall der Zahnbehandlungsangst zu einer Verstärkung zahnmedizinischer Probleme führen, die ihrerseits wieder die Angst vergrößern. Oft generalisiert (Kapitel 2.2.3.) die Angst dann auch auf Stimuli außerhalb der Zahnarztpraxis: Bereits das Vereinbaren eines Termins, das Sprechen über Zahnärzte oder gar das Putzen der Zähne werden dann als extrem angstauslösend erlebt und ggf. vermieden. Es entsteht ein Teufelskreis der durchbrochen werden muss. Dabei haben sich Strategien der Verhaltenstherapie oder der kognitiven Verhaltenstherapie als wirksam erwiesen [12].
Besser ist es aber noch, die Entstehung des Teufelskreises von vorneherein zu verhindern. Aus lerntheoretischer Sicht empfiehlt es sich, hier besonders darauf zu achten, Kinder behutsam an die zahnärztliche Behandlungssituation heranzuführen, die sehr salienten Praxisstimuli möglichst positiv zu besetzen (z.B. indem man Kindern Gelegenheit gibt, vor ihrer ersten Untersuchung spielerisch die Behandlungsutensilien kennenzulernen) und damit eine latente Hemmung (Kapitel 2.2.3.) einer möglichen späteren Angstkonditionierung zu erzeugen. Weiterhin sollte man sämtliche aversiven Anteile der Behandlung so weit wie irgend möglich reduzieren, indem man z.B. den Patient*innen so viel Kontrolle wie möglich gibt und Behandlungsschritte ankündigt, sodass sie sich darauf einstellen können. Schließlich sollten negative Gefühle, wie Schmerzen oder Beschämung vermieden werden. Ersteres gelingt durch die Gabe von Anästhetika, Letzteres indem z.B. konstruktiv die Mundhygienefertigkeiten trainiert und damit verbessert werden, anstatt die unzureichende Qualität derselben zu kommentieren.
Die Zahnbehandlungsphobie ist eine spezifische Phobie. Oft kommt es zu einer Reizgeneralisation, die sogar die Mundhygiene zu einem angstauslösenden Stimulus macht, der vermieden wird.
2.8.4.3. Stress und parodontale Gesundheit
Auch psychologischer Stress (s. Kapitel 2.1. und 2.2.7.) kann sich ungünstig auf die Mundgesundheit, insbesondere auch auf die parodontale Gesundheit, auswirken. Sowohl tierexperimentelle Studien als auch korrelative Studien mit Menschen belegen Zusammenhänge zwischen psychischen Belastungen und parodontalem Knochenverlust. Als Mechanismen, die zwischen Stress und Parodontitis mediieren (= vermitteln), werden u.a. die Immunregulation und das Mundgesundheitsverhalten diskutiert.
Orale Manifestationen psychischer Belastungen und Störungen
Stress wird aber noch mit einem anderen Phänomen in Verbindung gebracht, das die Zahn- und Mundgesundheit beeinträchtigen kann: dem sogenannten Bruxismus (ICD: F45.8 [13]). Unter Bruxismus wird das unphysiologische Knirschen und Pressen der Zähne aufeinander verstanden, das tagsüber und/oder nachts auftreten kann. Es kann nicht nur mit einem verstärkten Abrieb des Zahnschmelzes einhergehen, sondern wird oft auch von Schmerzen in der Kiefermuskulatur und den Kiefergelenken sowie von Funktionseinschränkungen (z.B. eingeschränkte Mundöffnung) begleitet (craniomandibuläre Dysfunktion (ICD: K07.6 [14]); chronische craniomandibuläre Schmerzen). Gerade der Bruxismus während der Wachphasen ist auch mit psychosozialen Faktoren assoziiert (z.B. Stress, Angststörungen). Entsprechend werden zur Behandlung des Bruxismus auch psychotherapeutische Maßnahmen, wie z.B. das Biofeedback und progressive Muskelentspannung (s. Kapitel 5.3.) empfohlen [15].
Psychische Belastungen und Störungen können mit Veränderungen des Hygieneverhaltens, der Immunregulation und der Muskelaktivität des stomatognathen Systems einhergehen und so zu gesundheitlichen Störungen im Mund-, Kiefer- und Gesichtsbereich beitragen.
Eine schwerwiegende psychische Störung wird häufig als erstes in der zahnmedizinischen Praxis erkannt: die Bulimia nervosa (ICD: F50.2 [16]). Die betroffenen Patient*innen leiden unter Essattacken auf die ein willentlich herbeigeführtes Erbrechen und/oder der Missbrauch von Abführmitteln folgt. Bei dieser Essstörung handelt es sich nicht nur um ein schweres psychisches Leiden. Das häufige Erbrechen und der Missbrauch von Abführmitteln können auch zu körperlichen Komplikationen führen. Entsprechend wichtig ist es, die Krankheit früh zu erkennen und zu behandeln. Dabei verheimlichen die Betroffenen ihre Störung aber in der Regel. Offenkundig wird sie dann oft zuerst bei der zahnärztlichen Untersuchung, denn das mit dieser Erkrankung verbundene häufige Erbrechen führt zu typischen durch die erbrochene Magensäure bedingten Erosionen des Zahnschmelzes speziell an den Innenflächen der Frontzähne. Wichtig ist hier, dass das zahnärztliche Team das Problem sensibel anspricht und die Patient*innen dazu ermutigt und dabei unterstützt, psychotherapeutische Hilfe in Anspruch zu nehmen.
Die Bulimia nervosa wird klinisch oft als erstes durch Erosionen des Zahnschmelzes auffällig.
Psychische Faktoren bei der Prothesenadaption
Der Verlust von Zähnen stellt für viele Menschen einen wichtigen Einschnitt dar, der von starken emotionalen Reaktionen begleitet sein kann. Zahnlosigkeit oder weitgehende Zahnlosigkeit sind begleitet von Einschränkungen beim Essen, dem Sprechen und in sozialen Interaktionen. Fehlende Zähne führen außerdem zum Abbau des Kieferknochens an den entsprechenden Stellen, auch die Kiefermuskulatur verliert deutlich an Kraft, was wiederum mit physiognomischen Veränderungen einhergeht (Abbildung 6). Für die Betroffenen ist aus diesen Gründen eine adäquate Versorgung mit Zahnersatz wichtig. Während die meisten Patient*innen mit ihrem Zahnersatz zufrieden sind, haben 10–20% Probleme damit. Typischerweise klagen diese Patient*innen über schlechten Sitz des Zahnersatzes, Schmerzen, Probleme beim Kauen und mangelhafte Ästhetik. Diese Klagen sind oft nicht ausreichend mit der objektiven Qualität des Zahnersatzes zu erklären. Von hoher Bedeutung scheint hier die Zahnarzt-Patient-Interaktion (vgl. Kapitel 4.) zu sein. Aber auch Persönlichkeitseigenschaften der Patient*innen können eine Rolle spielen, z.B. sind erhöhte Werte der Persönlichkeitseigenschaft Neurotizismus (s. Kapitel 2.3.) mit mangelhafter Prothesenadaptation assoziiert. Problematisch ist in solchen Fällen die häufige Korrektur der Prothese selbst, denn diese erschwert die Adaptation zusätzlich und kann zudem eine iatrogene Fixierung (s. Kapitel 2.2.7.) auf die mangelnde Qualität der Prothese als Ursache der Beschwerden bedingen, wenn eigentlich psychische Anpassungsprobleme im Vordergrund stehen.
Bei Schwierigkeiten während der Prothesenadaptation können psychische Faktoren eine größere Rolle spielen als die objektive Qualität der prothetischen Versorgung. Die ständige Korrektur der Prothese kann die Adaptation beeinträchtigen.
2.8.4.4. Fazit
Psyche und Mundgesundheit sind in vielfältiger Weise miteinander verschränkt. Es gilt, diese Zusammenhänge zu beachten, wenn es darum geht, orale Gesundheit aufrechterhalten oder wiederherstellen zu wollen und psychische Beeinträchtigungen durch orale Erkrankungen zu minimieren.
Die Parodontitis ist eine entzündliche Erkrankung des Zahnhalteapparates. Dieser besteht aus dem Kiefer- oder Alveolarknochen, den desmodontalen Faserbündeln, die diesen mit der Zahnwurzel verbinden und dem angrenzenden Zahnfleisch (Gingiva). Sie entsteht durch Plaqueanlagerungen am Gingivarand, die zunächst zu einer Entzündung des Zahnfleisches (Gingivitis) führen. Wird die Plaque wieder entfernt, verschwindet auch die Entzündung. Persistiert die Entzündung für längere Zeit, kann sie auf den Kieferknochen und die desmodentalen Faserbündel übergreifen. Es kommt nun zum entzündlichen Abbau des Knochens und der Faserbündel, der Zahn verliert an Halt, er kann im fortgeschrittenen Stadium der Parodontitis ausfallen.
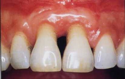
Klinisch ist eine Gingivitis daran zu erkennen, dass das Zahnfleisch etwas röter wird und seine Stippelung verloren geht. Bereits bei leichter Berührung beginnt es zu bluten. Eine Parodontitis erkennt man im Rahmen der zahnärztlichen Untersuchung, indem man die Tiefe der Zahnfleischtaschen sondiert (sie sind tiefer als normal) und eine Röntgenaufnahme des Kieferknochens macht (die Knochengrenze ist verschoben, siehe Abbildung 7). Ohne zahnärztliche Untersuchung macht sich eine Parodontitis am ehesten durch die länger erscheinenden Zähne und das Fehlen der Zahnpapillen bemerkbar (Abbildung 8). Beides entsteht dadurch, dass das Zahnfleisch dem Knochen folgt. Aber auch starker Mundgeruch ist häufig ein Zeichen für eine Parodontitis.
Da eine ausgeprägte Parodontitis eine umfassende Infektion mit teilweise hochpathogenen Keimen darstellt, die auch den gesamten Organismus beeinträchtigen kann, sollten Ärztinnen und Ärzte aller Disziplinen auf Frühzeichen achten und die Betroffenen ggf. zur Abklärung an eine zahnärztliche Praxis überweisen.
Um eine Parodontitis zu vermeiden, kommt es besonders auf die Entfernung der Plaque am Gingivarand an. Gerade dies ist aber besonders schwierig. Auch wissen die Patienten oft nicht um die Bedeutung der Plaquefreiheit am Gingivarand, sondern konzentrieren sich eher auf die Kauflächen, die aber im Erwachsenenalter gar nicht mehr so wichtig sind.
[zurück]
Die Karies (Abbildung 9) ist eine Erkrankung der Zahnhartsubstanz. Sie entsteht letztlich durch persistierende Säureangriffe auf den Zahn, genauer durch Stoffwechselprodukte von Bakterien in der Plaque, die Kohlenhydrate zu Milchsäure verstoffwechseln. Die Säuren führen zu Demineralisation des Zahnschmelzes (später auch des Dentins) und damit zur Karies. Durch das tägliche Zähneputzen werden nicht nur die Plaquebakterien vom Zahn entfernt, die Fluoride in der Zahnpaste tragen auch zur Remineralisierung bei. Insbesondere häufiger Zuckerkonsum wirkt kariesfördernd, da es dann zu wenig Erholungspausen gibt, in denen der Speichel die Säuren neutralisiert und den Zahnschmelz remineralisiert. Begünstigend ist daher für die Karies ein geringer Speichelfluss, welcher oft eine unerwünschte Nebenwirkung von Medikamentengaben oder Strahlentherapie ist. Aber auch ein durch andere Faktoren verursachter ‚trockener‘ Mund (z.B. habituelle Mundatmung durch behinderte Nasenatmung) begünstigt die Entstehung der Karies.
Eine andere Form von Säureangriffen auf den Zahnschmelz entsteht unmittelbar durch den Konsum von säurehaltigen Nahrungsmitteln oder beispielsweise durch häufiges Erbrechen (z.B. bei der Bulimia nervosa). Die so entstehenden Schäden am Zahnschmelz nennt man Erosionen.
Während bei Kindern noch besonders häufig die Kauflächen von Karies betroffen sind, da die noch tiefen Fissuren neu durchgebrochener Zähne schwer zu reinigen sind, entstehen bei Erwachsenen die Läsionen eher an freiliegenden Zahnhälsen (die für Säureangriffe anfälliger sind) und im Zahnzwischenraumbereich, der schwerer von Plaque befreit werden kann, weswegen dort die Plaque oft länger persistiert.
Zu Vermeidung einer Karies kommt es also nicht nur auf die Mundhygiene an, sondern auch auf das Ernährungsverhalten. Unterschätzt wird dabei oft, dass auch der permanente Konsum zuckerhaltiger Getränke über den Tag hinweg zu schwerwiegenden Schäden führen kann, die besonders eindrucksvoll bei der sog. Nuckelflaschenkaries (Abbildung 10) zu Tage treten.
References
[1] Perales Soto E. Smile!. Wikimedia; 2010 Jul 4. Available from: https://commons.wikimedia.org/w/index.php?curid=10804487[2] Bundesinstitut für Arzneimittel und Medizinprodukte (BfArM) [Internet]. ICD-10-GM-K05.3 – Internationale statistische Klassifikation der Krankheiten und verwandter Gesundheitsprobleme, Version 2022 [International Classification of Diseases (ICD)]. Köln: BfArM;2022 [cited 2022 Feb 15]. Available from: https://www.dimdi.de/static/de/klassifikationen/icd/icd-10-gm/kode-suche/htmlgm2022/block-k00-k14.htm
[3] Deinzer R. Oral Health, Psychology of. In: Wright JD, editor. International encyclopedia of the social and behavioral sciences. 2nd ed. Amsterdam [u.a.]: Elsevier; 2015. p. 279–83.
[4] Jordan AR, Micheelis W, et al. Fünfte Deutsche Mundgesundheitsstudie (DMS V). Köln: Deutscher Zahnärzte Verlag DÄV; 2016. (Materialienreihe/Institut der Deutschen Zahnärzte; 35).
[5] Rössing R, Rössing R. Fotothek df roe-neg 0006709 006 Drei Kleinkinder an Waschbecken eines Kinderkrippenbaderaums beim Zähneputzen. Wikimedia; 2009 Apr 16. Available from: https://commons.wikimedia.org/w/index.php?curid=6545781
[6] Bundesinstitut für Arzneimittel und Medizinprodukte (BfArM) [Internet]. ICD-10-GM-K02 – Internationale statistische Klassifikation der Krankheiten und verwandter Gesundheitsprobleme, Version 2022 [International Classification of Diseases (ICD)]. Köln: BfArM;2022 [cited 2022 Feb 15]. Available from: https://www.dimdi.de/static/de/klassifikationen/icd/icd-10-gm/kode-suche/htmlgm2022/block-k00-k14.htm
[7] Sozialgesetzbuch (SGB V) Fünftes Buch Gesetzliche Krankenversicherung, (Artikel 1 des Gesetzes vom 20. 12. 1988, BGBl. I S. 2477, 2482), zuletzt geändert durch Artikel 3 des Gesetzes vom 22. 02. 2021 (BGBl. I S. 266) § 21 Verhütung von Zahnerkrankungen (Gruppenprophylaxe)
[8] Sozialgesetzbuch (SGB V) Fünftes Buch Gesetzliche Krankenversicherung, (Artikel 1 des Gesetzes vom 20. 12. 1988, BGBl. I S. 2477, 2482), zuletzt geändert durch Artikel 3 des Gesetzes vom 22. 02. 2021 (BGBl. I S. 266) § 22 Verhütung von Zahnerkrankungen (Individualprophylaxe)
[9] Sozialgesetzbuch (SGB V) Fünftes Buch Gesetzliche Krankenversicherung, (Artikel 1 des Gesetzes vom 20. 12. 1988, BGBl. I S. 2477, 2482), zuletzt geändert durch Artikel 3 des Gesetzes vom 22. 02. 2021 (BGBl. I S. 266) § 55 Leistungsanspruch
[10] Hic et nunc, ILA-boy. Bonusheft [bearbeitet durch Hic et nunc]. Wikimedia; 2013 Apr 5. Available from: https://commons.wikimedia.org/w/index.php?curid=25455595
[11] Bundesinstitut für Arzneimittel und Medizinprodukte (BfArM) [Internet]. ICD-10-GM-F40.2 – Internationale statistische Klassifikation der Krankheiten und verwandter Gesundheitsprobleme, Version 2022 [International Classification of Diseases (ICD)]. Köln: BfArM;2022 [cited 2022 Feb 15]. Available from: https://www.dimdi.de/static/de/klassifikationen/icd/icd-10-gm/kode-suche/htmlgm2022/block-f40-f48.htm
[12] Arbeitskreis Psychologie und Psychosomatik in der DGZMK (AKPP); Deutsche Gesellschaft für Zahn-, Mund- und Kieferheilkunde (DGZMK), et al. S3-Leitlinie (Langversion) Zahnbehandlungsangst bei Erwachsenen. Registernummer 083-20. AWMF; 2019 [cited 2020 Jul 21]. Available from: https://www.awmf.org/uploads/tx_szleitlinien/083-020l_S3_Zahnbehandlungsangst-beim-Erwachsenen_2019-11.pdf
[13] Bundesinstitut für Arzneimittel und Medizinprodukte (BfArM) [Internet]. ICD-10-GM-F45.8 – Internationale statistische Klassifikation der Krankheiten und verwandter Gesundheitsprobleme, Version 2022 [International Classification of Diseases (ICD)]. Köln: BfArM;2022 [cited 2022 Feb 15]. Available from: https://www.dimdi.de/static/de/klassifikationen/icd/icd-10-gm/kode-suche/htmlgm2022/block-f40-f48.htm
[14] Bundesinstitut für Arzneimittel und Medizinprodukte (BfArM) [Internet]. ICD-10-GM-K07.6 – Internationale statistische Klassifikation der Krankheiten und verwandter Gesundheitsprobleme, Version 2022 [International Classification of Diseases (ICD)]. Köln: BfArM;2022 [cited 2022 Feb 15]. Available from: https://www.dimdi.de/static/de/klassifikationen/icd/icd-10-gm/kode-suche/htmlgm2022/block-k00-k14.htm
[15] Deutsche Gesellschaft für Funktionsdiagnostik und -therapie in der Zahn-, Mund- und Kieferheilkunde (DGFDT); Deutsche Gesellschaft für Zahn-, Mund- und Kieferheilkunde (DGZMK), et al. S3-Leitlinie (Langversion) Diagnostik und Behandlung von Bruxismus. Registernummer: 083-027. AWMF; 2019 [cited 2020 Jul 21]. Available from: https://www.awmf.org/uploads/tx_szleitlinien/083-027l_S3_Bruxismus-Diagnostik-Behandlung_2019-06.pdf
[16] Bundesinstitut für Arzneimittel und Medizinprodukte (BfArM) [Internet]. ICD-10-GM-F50.2 – Internationale statistische Klassifikation der Krankheiten und verwandter Gesundheitsprobleme, Version 2022 [International Classification of Diseases (ICD)]. Köln: BfArM;2022 [cited 2022 Feb 15]. Available from: https://www.dimdi.de/static/de/klassifikationen/icd/icd-10-gm/kode-suche/htmlgm2022/block-f50-f59.htm
[17] Wikimedia. P W P HoboWoman. Wikimedia; 2012 Jan 16. Available from: https://commons.wikimedia.org/w/index.php?curid=18061714
[18] Bernard bill5. Paro1. Wikimedia; 2005 Jan 7. Available from: https://commons.wikimedia.org/w/index.php?curid=39080
[19] Damdent. Recession parodontale. Wikimedia; 2008 Jun 7. Available from: https://commons.wikimedia.org/w/index.php?curid=4176062
[20] Partynia. Zahnquerschnitt mit kariösem Defekt. Wikimedia; 2015 Sep 26. Available from: https://commons.wikimedia.org/w/index.php?curid=43668751
[21] Storbech H. Nursing-Bottle-Syndrom OK. Wikimedia; 2008 Dez 21. Available from: https://de.wikipedia.org/w/index.php?curid=4084660



