70. Kongress der Nordrhein-Westfälischen Gesellschaft für Urologie
70. Kongress der Nordrhein-Westfälischen Gesellschaft für Urologie
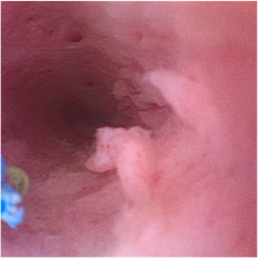
Topische Behandlung pan-urethraler Plattenepithelneoplasien mit 5-FU als Alternative zur radikalen Urethrektomie
Text
Einleitung: Urethrale Plattenepithelneoplasien sind seltene, potenziell aggressive Tumore ohne standardisierte Diagnostik und Behandlung. Ihre hohe Rezidiv- und Progressionsrate erschwert das Management und führt häufig zu radikalen Operationen. Meist sind die Läsionen HPV-positiv, jedoch existieren auch HPV-negative Formen. Ein 63-jähriger Patient stellte sich in unserer Poliklinik für Urologie mit extern histologisch gesicherten, HPV-negativen intraepithelialen Plattenepithelneoplasien der Harnröhre vor. Eine Urethrektomie mit Anlage einer Boutonnière wurde ihm empfohlen. Da der Patient asymptomatisch war, besprachen wir alternativ eine Laserabtragung sowie anschließende topische Chemotherapie mit 5-Fluorouracil (5-FU) im off-label-Gebrauch. 5-FU zeigt bei Plattenepithelkarzinomen, z.B. im Kopf-Hals-Bereich, und kutanen Vorstufen gute Wirksamkeit und wurde bereits erfolgreich für urethrale Neoplasien topisch angewendet (Timm et al., 2020).
Methode: Die flexible Urethrozystoskopie bei Erstvorstellung zeigte multiple kondylomähnliche Veränderungen von der bulbären bis distalen Harnröhre ohne V.a. tiefe Infiltration oder Kontaktvulnerabilität. Bei einer erneuten flexiblen Urethroskopie in Intubationsnarkose wurden die Läsionen mittels Laser abgetragen. Zwei Wochen danach begann die ambulante Applikation einer 5%-igen 5-FU-Lösung in die Harnröhre. Der Patient erhielt acht Gaben mit einer Einwirkzeit von 30 Minuten im wöchentlichen Abstand, eine Gabe wurde wegen einer Covid-Infektion verschoben.
Ergebnisse: Nach Abschluss der 5-FU-Therapie zeigte die Kontrollzystoskopie keine sichtbaren Neoplasien oder Rezidive und der Patient blieb stets symptomfrei. Es wurde eine Erhaltungstherapie mit acht weiteren 5-FU-Gaben begonnen. Um das Ansprechen zu überwachen und Rezidive frühzeitig zu erkennen, erfolgen zunächst alle 3 Monate Kontrollurethroskopien.
Schlussfolgerung: Dieser Fall demonstriert das Potenzial einer konservativen Behandlung von urethralen Plattenepithelneoplasien, insbesonders bei asymptomatischen Patienten, für die eine radikale Operation weitreichende funktionelle und Lebensqualität-bezogene Einschränkungen hätte. Die erfolgreiche Anwendung der 5-FU-Lösung deutet darauf hin, dass eine topische Chemotherapie eine sichere Alternative zur Urethrektomie sein kann. Langfristige Beobachtungsstudien sind jedoch erforderlich, um das Langzeit-Ansprechen und die Sicherheit dieser Methode zu bestätigen.
Abbildung 1 [Abb. 1]
Abbildung 2 [Abb. 2]





